Tuberculosis
Micro (Ziehl-Neelsen)

Tuberculosis

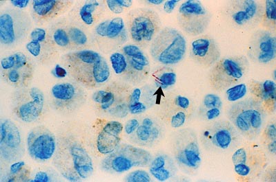
M. tuberculosis typically is beaded, may be intracytoplasmic (as depicted here) and is usually rare and difficult to find in tissue sections. [Click on the image to enlarge.]

Back