Chest X-ray, Normal, PA

Chest X-ray, Normal, PA

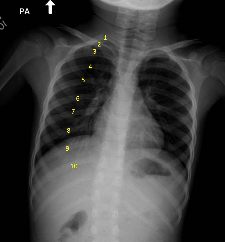
The right posterior ribs are numbered.   The right diaphragm is nearly even with the 8th rib.

Back